Gallery

Gallery
Emergency Treatments
Cosmetic Dentistry

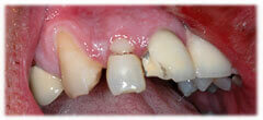
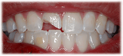
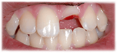
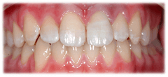
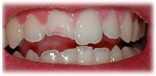
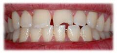
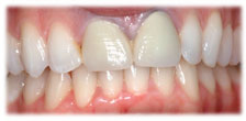
CASE # 1: Emergency Treatment - Fractured Tooth

CASE # 1: Emergency Treatment - Fractured Tooth (before)
Before
CASE # 1: Emergency Treatment - Fractured Tooth (after)
After

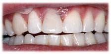
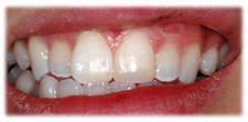
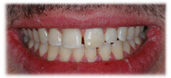
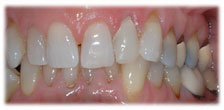
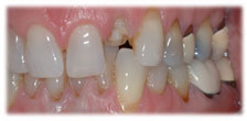
CASE # 2: Cosmetic Dentistry - Lumineers

CASE # 2: Cosmetic Dentistry - Lumineers (before)
Before
CASE # 2: Cosmetic Dentistry - Lumineers (after)
After

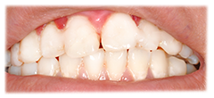
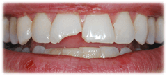
CASE # 3: Emergency Treatment - Fractured or Broken Tooth

CASE # 3: Emergency Treatment - Fractured or Broken Tooth (before)
Before
CASE # 3: Emergency Treatment - Fractured or Broken Tooth (after)
After

CASE # 4: General and Cosmetic Dentistry - Cleaning - Teeth Whitening

CASE # 4: General and Cosmetic Dentistry - Cleaning - Teeth Whitening (before)
Before
CASE # 4: General and Cosmetic Dentistry - Cleaning - Teeth Whitening (after)
After

CASE # 5: Emergency Treatment - Fractured or Broken Tooth

CASE # 5: Emergency Treatment - Fractured or Broken Tooth (before)
Before
CASE # 5: Emergency Treatment - Fractured or Broken Tooth (after)
After

CASE # 6: Cosmetic Dentistry - All-Porcelain Crowns

CASE # 6: Cosmetic Dentistry - All-Porcelain Crowns (before)
Before
CASE # 6: Cosmetic Dentistry - All-Porcelain Crowns (after)
After

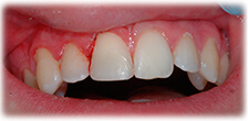
CASE #7: Emergency Treatment - Fractured Tooth

CASE #7: Emergency Treatment - Fractured Tooth (before)
Before
CASE #7: Emergency Treatment - Fractured Tooth (after)
After

CASE #8: Cosmetic Dentistry - Teeth Whitening

CASE #8: Cosmetic Dentistry - Teeth Whitening (before)
Before
CASE #8: Cosmetic Dentistry - Teeth Whitening (after)
After

CASE #9: Emergency Treatment - Fractured Tooth

CASE #9: Emergency Treatment - Fractured Tooth (before)
Before
CASE #9: Emergency Treatment - Fractured Tooth (after)
After

CASE #10: Cosmetic Restoration - White Filling

CASE #10: Cosmetic Restoration - White Filling (before)
Before
CASE #10: Cosmetic Restoration - White Filling (after)
After

CASE #11: Emergency Treatment - Broken/Chipped Teeth

CASE #11: Emergency Treatment - Broken/Chipped Teeth (before)
Before
CASE #11: Emergency Treatment - Broken/Chipped Teeth (after)
After

CASE #12: Veneers - Stained Teeth

CASE #12: Veneers - Stained Teeth (before)
Before
CASE #12: Veneers - Stained Teeth (after)
After

CASE #13: Emergency Treatment - Fractured Tooth

CASE #13: Emergency Treatment - Fractured Tooth (before)
Before
CASE #13: Emergency Treatment - Fractured Tooth (after)
After

CASE #14: Trauma

CASE #14: Trauma (before)
Before
CASE #14: Trauma (after)
After

CASE #15: Emergency Treatment - Fractured Tooth

CASE #15: Emergency Treatment - Fractured Tooth (before)
Before
CASE #15: Emergency Treatment - Fractured Tooth (after)
After

CASE #16: Broken/Fractured Tooth

CASE #16: Broken/Fractured Tooth (before)
Before
CASE #16: Broken/Fractured Tooth (after)
After

CASE #17: Emergency Treatment - Broken Teeth

CASE #17: Emergency Treatment - Broken Teeth (before)
Before
CASE #17: Emergency Treatment - Broken Teeth (after)
After

CASE #18: Broken/Fractured

CASE #18: Broken/Fractured (before)
Before
CASE #18: Broken/Fractured (after)
After

CASE #19: Emergency Treatment - Fractured Tooth

CASE #19:  Emergency Treatment - Fractured Tooth (before)
Before
CASE #19:  Emergency Treatment - Fractured Tooth (after)
After

CASE #20: Broken/Fractured

CASE #20: Broken/Fractured (before)
Before
CASE #20: Broken/Fractured (after)
After

CASE #21: Emergency Treatment - Fractured Tooth

CASE #21: Emergency Treatment - Fractured Tooth (before)
Before
CASE #21: Emergency Treatment - Fractured Tooth (after)
After

CASE #22: Cosmetic Restoration

CASE #22:  Cosmetic Restoration (before)
Before
CASE #22:  Cosmetic Restoration (after)
After

CASE #23: Emergency Treatment - Fractured Tooth

CASE #23: Emergency Treatment - Fractured Tooth (before)
Before
CASE #23: Emergency Treatment - Fractured Tooth (after)
After

CASE #24: Broken / fractured tooth

CASE #24: Broken / fractured tooth (before)
Before
CASE #24: Broken / fractured tooth (after)
After

CASE #25: Emergency Treatment - Fractured Tooth

CASE #25: Emergency Treatment - Fractured Tooth (before)
Before
CASE #25: Emergency Treatment - Fractured Tooth (after)
After

CASE #26: Broken / fractured Tooth

CASE #26:  Broken / fractured Tooth (before)
Before
CASE #26:  Broken / fractured Tooth (after)
After

CASE #27: Emergency Treatment - Fractured Tooth

CASE #27: Emergency Treatment - Fractured Tooth (before)
Before
CASE #27: Emergency Treatment - Fractured Tooth (after)
After

CASE #28: Broken / fractured tooth

CASE #28: Broken / fractured tooth (before)
Before
CASE #28: Broken / fractured tooth (after)
After

CASE #29: Emergency Treatment - Broken Teeth

CASE #29: Emergency Treatment - Broken Teeth (before)
Before
CASE #29: Emergency Treatment - Broken Teeth (after)
After

CASE #30: Cosmetic Lengthening

CASE #30: Cosmetic Lengthening (before)
Before
CASE #30: Cosmetic Lengthening (after)
After

CASE #31: Cosmetic Restoration

CASE #31: Cosmetic Restoration (before)
Before
CASE #31: Cosmetic Restoration (after)
After

CASE #32: Broken/Fractured

CASE #32: Broken/Fractured (before)
Before
CASE #32: Broken/Fractured (after)
After

CASE #33: Emergency Treatment - Fractured Tooth

CASE #33: Emergency Treatment - Fractured Tooth (before)
Before
CASE #33: Emergency Treatment - Fractured Tooth (after)
After

CASE #34: Emergency Treatment - Fractured Tooth

CASE #34: Emergency Treatment - Fractured Tooth (before)
Before
CASE #34: Emergency Treatment - Fractured Tooth (after)
After

CASE #35: Broken / fractured tooth

CASE #35: Broken / fractured tooth (before)
Before
CASE #35: Broken / fractured tooth (after)
After

CASE #36: Emergency Treatment - Broken tooth

CASE #36: Emergency Treatment - Broken tooth (before)
Before
CASE #36: Emergency Treatment - Broken tooth (after)
After

CASE #37: Broken / fractured tooth

CASE #37: Broken / fractured tooth (before)
Before
CASE #37: Broken / fractured tooth (after)
After

CASE #38: Emergency Treatment - Fractured tooth

CASE #38: Emergency Treatment - Fractured tooth (before)
Before
CASE #38: Emergency Treatment - Fractured tooth (after)
After

CASE #39: Emergency Treatment - Broken tooth

CASE #39: Emergency Treatment - Broken tooth (before)
Before
CASE #39: Emergency Treatment - Broken tooth (after)
After

CASE #40: Emergency Treatment - Fractured Tooth

CASE #40: Emergency Treatment - Fractured Tooth (before)
Before
CASE #40: Emergency Treatment - Fractured Tooth (after)
After

CASE #41: Emergency Treatment - Fractured Tooth

CASE #41: Emergency Treatment - Fractured Tooth (before)
Before
CASE #41: Emergency Treatment - Fractured Tooth (after)
After