Dowload info kit
Start smiling with Invisalign
Please complete the fields below and receive your personal online Info kit. It will give you access to valuable information to help you on your way to the smile you've always wanted. Fields with * are compulsory
Thank you for providing your information. By clicking submit, you are requesting to receive the online Info Kit.
The Results
Invisalign has treated over 2.5 million people worldwide. That is over 2.5 million different Invisalign stories. Here are just some of them.
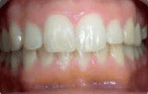
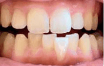
Khadija’s story
I’d developed a complex about my teeth. My front teeth stuck out and my jaw was too small, which meant that I hated smiling. I looked into treatment options and decided Invisalign was the perfect choice for me. Because they’re nearly invisible, I was able to carry on living my life without being self-conscious – people didn’t even know I was wearing them.
Before

After
" I got my smile back
From start to finish the treatment took 18 months. I wore the aligners every day, and just removed them to eat and drink. That is the beauty of Invisalign, they fit into your life. Thanks to the treatment I now feel so much more confident. Put simply, I got my smile back.
Marie’s story
I had been conscious of my gappy smile for as long I could remember and really wanted to do something about it. But, as a teacher, I’m under the constant scrutiny of young children, so as you can imagine, fixed braces just weren’t an option for me.
Before

After
As a teacher, confidence is everything
Since having the Invisalign treatment the changes to my teeth have brought me back to my old self again and I’m a happier person. At my age, I thought it was too late to fix my teeth, but Invisalign has helped give me a smile I can be proud of.
Clare’s story
When my sister told me she was getting married and asked me to be a bridesmaid I was equal parts thrilled and terrified. I was dreading the pictures – all those people looking at my crooked teeth. On such an important day, I really wanted to look my best and be able to smile with confidence, without worrying about my teeth.
Before

After
In the past I’d considered having some treatment, but with my public facing job as a police officer, there was no way I was going to feel okay about having bulky, fixed metal braces in my mouth. I decided to look into the different treatment options available.
Now I smile for photos again
What impressed me most about the Invisalign treatment was how it easily fitted into my lifestyle. I could wear them at work and you could barely see them. This meant I could be confident in any given situation. And because the aligners were removable, I was able to take them out for my sister’s wedding day – which I never would have been able to do with other braces.
Now the treatment is over I’m overjoyed with the results. I now smile for any photo that I’m in – birthdays, holidays and, yes, weddings.
Davide’s story
I wore metal braces as a child. I found they were really uncomfortable, made me very self-conscious and I don’t believe they made much difference to my teeth. The turning point was when my aunt introduced me to Invisalign – it was amazing to see how, with Invisalign’s computer treatment software (ClinCheck), my teeth would be expected to straighten over time.
Before

After
" The results have been beyond my expectations
My teeth are now much straighter [and I love my new smile]; the Invisalign treatment exceeded all of my expectations.

